Causes & Locations of Intracerebral Hemorrhage
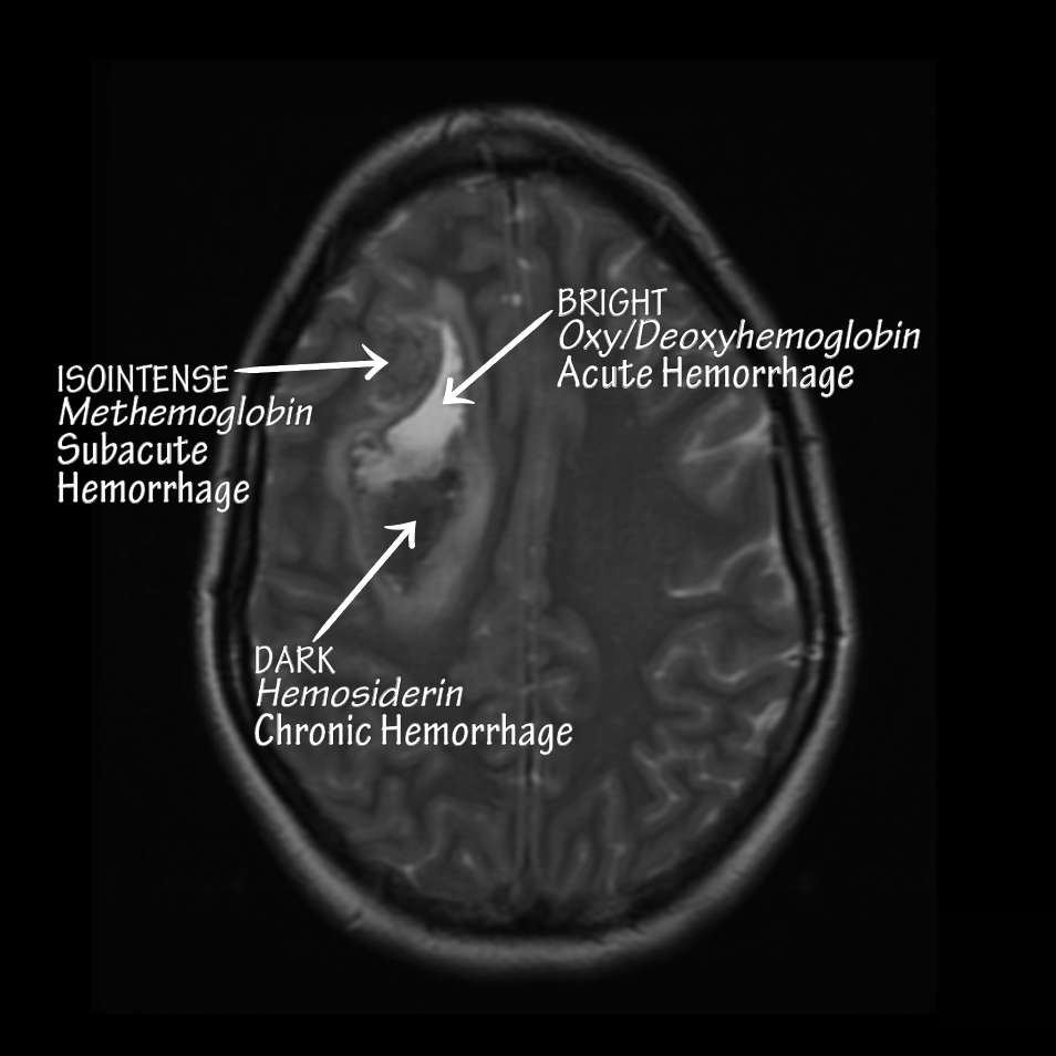
Various blood products on Axial MRI of an intraparenchymal hemorrhage.

Causes & Locations of Intracerebral Hemorrhage

overview
Intraparenchymal hemorrhage (aka Intracerebral hemorrhage (ICH))
  • Intraparenchymal hemorrhage refers bleeding within the cerebrum, itself.
  • It has a 30-day mortality risk of ~ 50%, half of those patients will die in first 24 hours.
Important modifiable risk factors for ICH:
  • Hypertension
  • Alcohol & Drug Use
  • Atherosclerosis
  • Anticoagulants
ICH Pathophysiology:
  • In hypertensive vaculopathy, there are microscopic degenerative changes in the walls of small vessels over time that eventually result in hemorrhage.
  • Cerebral amyloid angiopathy is a disease of the elderly in which amyloid-beta peptide lines the walls of small vessels and leads to rupture.
Most common ICH location:
  • Basal Ganglia.
Detailed Review
Common ICH Locations
Most common locations
  • Deep
    • Basal ganglia (especially the putamen)
    • Thalamic
  • Lobar (cerebral lobes)
Less common locations
  • Cerebellum
  • Brainstem, especially the pons
Causes of Intracranial Hemorrhage: Detailed List
Hypertension
  • The most common cause of ICH.
  • Pathophysiology: microscopic degenerative changes in the walls of small vessels eventually leads to vessel rupture.
Cerebral amyloid angiopathy
  • A common cause of ICH in the elderly.
  • Pathophysiology: amyloid-beta peptide lines the walls of small vessels and leads to rupture.
  • Tends to cause lobar hemorrhages and incidental microhemorrhages.
Vascular malformations
  • Arteriovenous malformations
    • Pathogenesis: direct arterial to venous connections form without an intervening capillary network (think: arterial pressure).
    • MRI characteristics: extra blood vessels with an associated nidus (abnormal flow voids).
    • AVMs are the most lethal form of vascular malformation.
    • The overall annual risk of ICH for a typical AVM is 2.3% per year over 10 years. Ruptured AVMs have a higher risk of recurrence than unruptured AVMs. (Derdeyn et al., 2017)
    • Decision to treat (eg, surgical excision, radiosurgery, endovascular therapy) depends on multiple factors: ruptured AVM is a strong indicator to treat.
  • Cavernous malformations
    • Comprise dilated, thin walled capillaries, thus they cause less severe hemorrhages than AVMs because they comprise venous blood (whereas AVMS contain high pressure arterial blood).
    • MRI characteristics: popcorn-shaped lesions with varying signal intensities secondary to different ages of blood products (see: MRI: Heme Products).
    • Familial cerebral cavernous malformations results from three different gene mutations, which can all be remembered by the "CCM" designation: KRIT1 (aka CCM1), CCM2, and PDCD10 (aka CCM3).
    • Surgical resection is performed when the cavernous malformation is accessible and is causing intractable seizures, progressive neurologic deficits, or recurrent hemorrhages.
  • Developmental venous anomalies and capillary telangiectasias represent the other forms of vascular malformations; they are generally considered incidental findings and are NOT a major cause of hemorrhage.
Hemorrhagic infarction (ie, hemorrhagic conversion of an ischemic stroke)
    • Typically asymptomatic and occur regularly in ischemic stroke: ~35% of ischemic strokes undergo hemorrhagic conversion (based on radiographic criteria). (Acute Ischemic Stroke: New Concepts of Care)
    • Occur secondary to reperfusion when the full pressure of arterial blood results in a migration of red blood cells into the hypoxic capillaries of the stroke bed.
Endocarditis
    • Septic emboli can infect the vessel wall and cause rupture and/or cause mycotic aneurysm.
    • Mycotic aneurysms (aneurysmal dilations secondary to infection) can cause infarct or hemorrhage (especially subarachnoid hemorrhage).
Coagulopathies
    • Congenital deficiencies
    • Acquired factor deficiencies (eg, secondary to liver disease)
    • Lymphoproliferative disorders
Meningoencephalitis
  • Herpes simplex encephalitis is an especially important infectious cause of ICH.
Brain tumors
  • ICH most commonly occurs in hematologic malignancies (eg, acute myelogenous leukemia) and in other malignancies that involve coagulation factor deficiencies.
  • Thrombocytopenia is a key cause of ICH in lymphoma, multiple myeloma, and solid tumors.
  • Venous infarct (sinus thrombosis or superficial venous thrombosis) is important cause of ICH in malignancy, in general.
  • When ICH is the presenting cause of brain tumor, it may obscure the radiographic imaging of the tumor, itself.
  • Brain METs that commonly cause ICH include lung cancer, melanoma, and germ cell tumors.
    • Radiographic clues to brain METS as a cause of ICH: atypical location, non?hemorrhagic tissue within the ICH, uneven distribution of ICH, significant edema, and additional enhancing sites. (Grisold et al., 2009)
Moyamoya
  • Moyamoya causes proliferation of fragile capillaries and aneurysms that are prone to hemorrhage.
Vasculitis
  • Typically manifests with cerebrovascular ischemia secondary to accumulation of inflammatory infiltrates with association destruction and/or occlusion but these changes may also lead to hemorrhage.
Illicit Drugs
  • Cocaine, heroin, and amphetamines (including methamphetamine and Ecstasy (methylenedioxymethylamphetamine)) are commonly abused illicit drugs that can result in ICH.
Antithrombotic agents
  • Patients taking oral anticoagulants constitute 12% to 20% of patients with ICH.
  • Antiplatelets are commonly used and increase ICH risk.
    • Of note, two randomized controlled trials are ongoing to evaluate the effectiveness of platelet transfusion in ICH patients taking antiplatelet agents.
  • Thrombolytic therapy can cause ICH.
Low cholesterol (possible risk factor)
  • The risk of low cholesterol as a cause of intracranial hemorrhage is currently in debate.
    • The SPARCL trial showed a worrisome rate of intracranial hemorrhage with high-intensity statin therapy but significant data to the contrary has also been published. (Hemphill et al., 2015)
Risk Factors for ICH Recurrence
Most common causes of ICH recurrence
  • Hypertension is a key cause of initial and recurrent ICH.
  • Older age is also a key cause of initial and recurrent ICH.
    • Key age-related factors are cerebral amyloid angiopathy (CAA), antithrombotic medications, and medical comorbidities.
  • Small vessel lacunar strokes portend a higher risk of recurrent ICH.
  • Cerebral microbleeds (especially lobar), likely related to cerebral amyloid angiopathy (CAA), indicate a high risk of ICH recurrence.
  • Carriers of the apolipoprotein E ?2 or ?4 alleles are known to have a higher ICH recurrence risk. (Hemphill et al., 2015)
References
AGUILAR MI, BROTT TG. Update in Intracerebral Hemorrhage. The Neurohospitalist. 2011;1(3):148-159. doi:10.1177/1941875211409050.
AMARENCO P, BOGOUSSLAVSKY J, CALLAHAN A, 3rd et al; The Stroke Prevention by Aggressive Reduction in Cholesterol Levels (SPARCL) Investigators. High-dose atorvastatin after stroke or transient ischemic attack. N Engl J Med. 2006;355:549–559.
BERGAMETTI F, DENIER C, LABAUGE P, et. al; Société Française de Neurochirurgie. Mutations within the programmed cell death 10 gene cause cerebral cavernous malformations. Am J Hum Genet. 2005 Jan;76(1):42-51. Epub 2004 Nov 12.
DERDEYN, C. P. et al. Management of Brain Arteriovenous Malformations: A Scientific Statement for Healthcare Professionals From the American Heart Association/American Stroke Association. Stroke, v. 48, n. 8, p. e200-e224, 2017. Disponível em: < http://stroke.ahajournals.org/content/strokeaha/48/8/e200.full.pdf >.
GOLDBERG, M.; FIGUEROA, A.; KIRCHEM, J., et. al. Acute Ischemic Stroke: New Concepts of Care. Disponível em: < http://www.strokecenter.org/professionals/brain-anatomy/cerebral-embolism-formation/hemorrhagic-conversion/ >.
GRISOLD, W.; OBERNDORFER, S.; STRUHAL, W. Stroke and cancer: a review. Acta Neurol Scand, v. 119, n. 1, p. 1-16, Jan 2009. ISSN 0001-6314.
HEMPHILL, J. C., 3RD et al. Guidelines for the Management of Spontaneous Intracerebral Hemorrhage: A Guideline for Healthcare Professionals From the American Heart Association/American Stroke Association. Stroke, v. 46, n. 7, p. 2032-60, Jul 2015. ISSN 0039-2499.