Endocarditis - Neurologic Manifestations
Systemic Manifestations of Endocarditis include: Heart valve disease, Pulmonary embolism, Splenomegaly, Retinal hemorrhages, Dermatologic hemorrhagic lesions.

Endocarditis - Neurologic Manifestations

systemic complications
Heart valve disease
  • Heart murmur is the most reliable physical exam finding.
Pulmonary embolism
  • Common in IV Drug Use with tricuspid valve endocarditis.
Splenomegaly
  • In up to 30% of cases.
Retinal hemorrhages (aka Roth Spots)
  • Are not specific to endocarditis (found in other immunologic diseases).
Dermatologic hemorrhagic lesions
  • Petechiae: Oral/buccal & Extremities
  • Osler Nodes: Tender Nodules: Fingers & Toes
  • Janeway Lesions: NonTender Hemorrhages: Palms/Soles
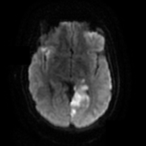
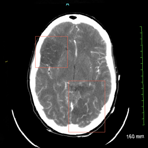
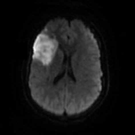
Neurologic Complications
Cortical Strokes
  • Most common finding (Cortically-based MCA strokes being the most common).
  • Hemorrhagic conversion is common and complicates any use of anticoagulants/anti-thrombotics.
Mycotic Aneurysms
  • In up to 10% of endocarditis patients
Abscesses, Meningitis, Arteritis
  • All are possible but less common than the aforementioned strokes, hemorrhages, and mycotic aneurysms.