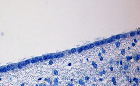
Ependymal cell

Although typically cuboidal, ependymal cells can have various shapes. Show that cilia on some of the ependymal cells track into the cerebrospinal fluid – depending on the type and location, not all ependymal cells have cilia. The ependymal cells form a somewhat permeable barrier between the cerebrospinal fluid filled cavities and the brain and spinal cord tissue. Do not confuse this with the blood/brain barrier, which provides a unique barrier between the brain tissue and the blood and requires astrocytes to form. Denote that their cilia help circulate the CSF.