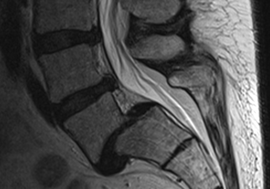
Spondylolisthesis

Occurs when one vertebra becomes anteriorly displaced over the one below it. Most often involves 4th or 5th lumbar vertebrae. Due to compression of the spinal nerves, this condition can cause pain in the low back/lower extremity.
Image credits: https://commons.wikimedia.org/wiki/File:MR_LWS_Spondylolistesis_Rueckenmarkskanal.jpg

Related Tutorials